Cấp cứu thành công cho bệnh nhân TNGT
Tối ngày 02/01, Khoa ngoại tổng hợp, TTYT huyện Chiêm Hoá tiếp nhận bệnh nhân MA. Đ. N (xã Trung Hà) bị ngã xe máy, sau ngã bệnh nhân bị đau và biến dạng chân phải, chảy máu nhiều, bệnh nhân đã được sơ cứu tạm thời trước khi vào viện.
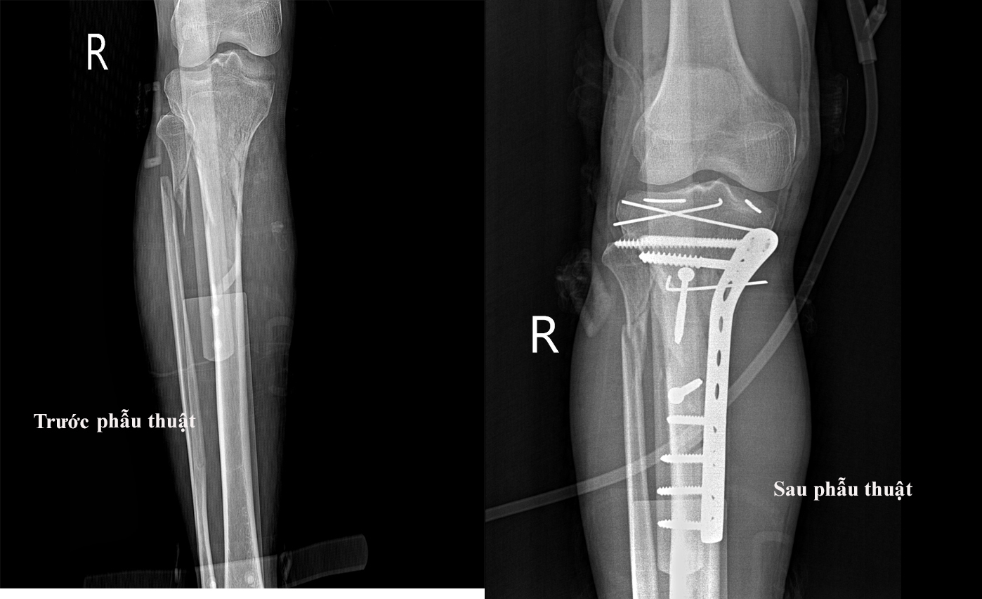
Qua thăm khám, tại 1/3 trên mặt trước ngoài cẳng chân phải cảu bệnh nhân bị biến dạng có vết thương hở kt ~3cm lộ xương, chảy máu, không đi lại được. Chụp Xquang xương cẳng chân thẳng nghiêng hình ảnh cho thấy gãy phần trên hai xương cẳng chân, gãy hở độ I; Vỡ mâm chày. Bệnh nhân được chỉ định mổ cấp cứu.

Chân phải của bệnh nhân bị biến dạng sau TNGT
Trong quá trình phẫu thuật, các bác sĩ phát hiện mâm chày ngoài vỡ lún. Các bác sỹ tiến hành làm sạch ổ gãy, đẩy mâm chày trong về bình diện giải phẫu, kết hợp xương bằng 02 đinh kischner. Tiếp tục rạch da mặt trong tách tổ chức dưới da, qua các lớp cân cơ, cắt sụn chêm ngoài bộc lộ ổ gẫy. Qua kiểm tra: mâm chày trong gẫy thành nhiều mảnh nhỏ, lan xuống thân xương, kíp mổ tiến hành làm sạch ổ gãy, đặt lại các mảnh xương theo bình diện giải phẫu kết hợp xương bằng 01 nẹp 12 lỗ, 8 vít.
Bệnh nhân đã được kiểm tra sau kết hợp mâm chày, xương chày phải, hiện tại hai xương thẳng trục. Do ổ gãy nhiều mảnh rời phức tạp nên bệnh nhân phải mất thời gian dài để ổn định.

Hình ảnh chụp XQ của bệnh nhân trước và sau phẫu thuật
Khoa ngoại tổng hợp – TTYT huyện Chiêm Hoá trong nhiều năm qua đã tiếp nhận và điều trị thành công cho nhiều ca phức tạp do TNGT, TNLĐ… tạo được niềm tin từ người bệnh./
T/h:Nguyễn Bình
(Phòng TCKH-TTYT huyện Chiêm Hoá)


