TTYT HUYỆN CHIÊM HOÁ THỰC HIỆN THÀNH CÔNG KỸ THUẬT GHÉP XƯƠNG MÀO CHẬU VÀO Ổ KHUYẾT XƯƠNG CẲNG CHÂN
Vừa qua, Trung tâm Y tế huyện Chiêm Hoá phẫu thuật thành công cho bệnh nhân L.V.Q 51 tuổi, xã Hồng Quang, huyện Lâm Bình bằng phương pháp ghép xương mào chậu vào ổ khuyết xương cẳng chân. Trước đó 5 tháng, người bệnh bị tai nạn xe máy, cẳng chân trái có vết thương gãy hở phức tạp, đã phẫu thuật. Khi nhập viện bệnh nhân sưng đau cẳng chân trái. Qua thăm khám tại mặt trước cẳng chân trái có sẹo mổ cũ kt 15cm, biến dạng cẳng chân, sẹo mổ cũ liền tốt, vận động cẳng chân trái đau, cơ lực tay phải 4/5, khối áp xe nách phải đã hoá mủ. Kết quả chụp XQ xương cẳng chân có hình ảnh xương tương đối thẳng trục, đang can. Các BS chẩn đoán gãy nẹp vis xương cẳng chân trái/ di chứng tai biến mạch mãu não và chỉ định mổ.

Thực hiện thành công kỹ thuật ghép xương mào chậu vào ổ khuyết xương cẳng chân

Hình ảnh xương chày 1/3 giữa di lệch hoàn toàn, khuyết xương mặt sau
Ekip phẫu thuật đã rạch da theo bờ trước xương chày phải, tách tổ chức dưới da qua các lớp cân cơ vào ổ gãy, thấy xương chày 1/3 giữa di lệch hoàn toàn, khuyết xương mặt sau. Các bác sỹ đã lấy xương xốp và vỏ xương đoạn gai chậu trước trên ghép vào mặt sau xương chày. Đồng thời, tiến hành làm sạch ổ gẫy và kết hợp xương bằng nẹp 8 lỗ 08 vít. Sau gần 2 giờ, ca phẫu thuật thành công. Hiện nay, bệnh nhân đang được điều trị tại khoa ngoại.

Các bác sỹ tiến hành lấy xương xốp và vỏ xương đoạn gai chậu trước trên ghép vào mặt sau xương chày cho bệnh nhân
Theo BS Ma Công Thuỳ - Khoa Ngoại tổng hợp TTYT huyện Chiêm Hoá - người trực tiếp phẫu thuật cho bệnh nhân thì phẫu thuật kết hợp xương được áp dụng phổ biến hiện nay vì hiệu quả cao. Tuy nhiên, sau phẫu thuật có thể gặp các biến chứng như đau, nhiễm trùng, sưng phù, xương chậm liền, xương bị lệch, cứng khớp, hạn chế vận động. Do những nguyên nhân sinh học và cơ học khác nhau, do đó bác sỹ khuyến cáo sau khi phẫu thuật kết hợp xương người bệnh nên tuân thủ lịch tái khám để bác sỹ theo dõi tình trạng phục hồi xương. Khi phát hiện sớm các biến chứng sau phẫu thuật các bác sỹ có biện pháp can thiệp kịp thời tránh nguy cơ tàn phế cho người bệnh.

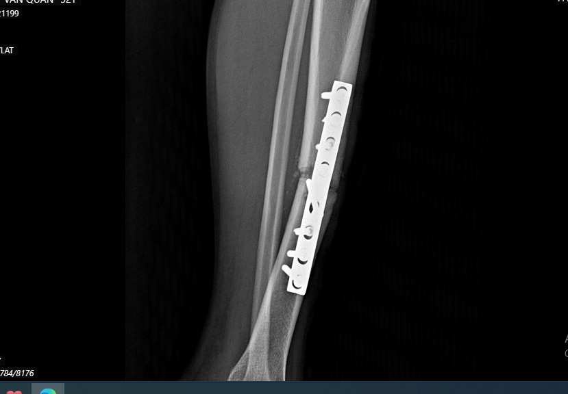
Chân bệnh nhân Q sau ca phẫu thuật
Khoa Ngoại tổng hợp - Trung tâm Y tế huyện Chiêm Hoá đã triển khai được nhiều kỹ thuật chuyên sâu giúp người bệnh được hưởng dịch vụ y tế hiện đại ngay tại huyện nhà, giảm chi phí điều trị, giảm tình trạng quá tải cho tuyến trên./
Tư vấn chuyên môn: Bs Ma Công Thuỳ - Khoa Ngoại tổng hợp
T/h:Nguyễn Bình (Phòng KHNV-TTYT huyện Chiêm Hoá)


