Đến TTYT huyện Chiêm Hoá để khám răng nhưng cụ ông 70 tuổi bất ngờ phải nằm viện cấp cứu do bị sán toàn thân.
Đến TTYT huyện Chiêm Hoá để khám răng nhưng cụ ông 70 tuổi bất ngờ phải nằm viện cấp cứu do bị sán toàn thân.
Ngày 30/11, trao đổi với PV Báo Gia đình & Xã hội, BS.ThS Phạm Chí Cường - PGĐ Trung tâm Y tế huyện Chiêm Hóa (Tuyên Quang) cho biết, đơn vị vừa điều trị thành công một ca bệnh nhiễm sán toàn thân.
Theo đó, nam bệnh nhân là M.V.T (70 tuổi, trú tại xã Phúc Sơn, huyện Chiêm Hoá) nhập viện do bị đau răng, phù nề vùng má phải.

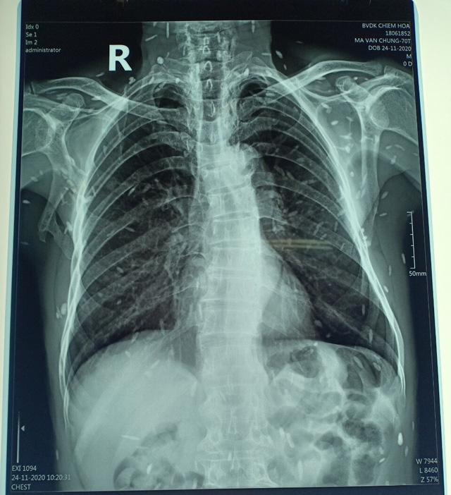
Hình ảnh chụp X-quang nam bệnh nhân 70 tuổi mắc bệnh kén sán toàn thân. Ảnh: TTYT huyện Chiêm Hoá
BS.ThS Phạm Chí Cường cho biết: "Cụ ông nhập viện vì đau răng, nhai kém và khó há miệng. Khi chụp X-quang thì kết quả là viêm quanh cuống răng. Thế nhưng, hình ảnh chụp thì cho ra rất nhiều sán, kén sán, các ổ vôi hoá nhu mô não do sán".
Cũng theo BS Cường, khai thác bệnh sử thì bệnh nhân mới cho hay là sở thích ăn gỏi sống. Mặc dù phát hiện bản thân mắc bệnh kén sán đã 4 năm nhưng không điều trị. Do quá đau vùng hàm dưới và sưng nền má phải nên mới phải đến bệnh viện để khám.

Đến TTYT huyện Chiêm Hoá để khám răng nhưng cụ ông 70 tuổi bất ngờ nhận phải nằm viện cấp cứu do bị sán toàn thân. Ảnh: TTYT huyện Chiêm Hoá cung cấp
"Ngay sau khi phát hiện trường hợp bệnh nhân bị sán toàn thân, chúng tôi đã cho bệnh nhân làm thủ tục nhập viện và điều trị tích cực tại bệnh viện.
Đến nay, dù qua nhiều ngày điều trị tích cực nhưng số lượng sán thấy được qua hình ảnh chụp X-quang không thể xử lý hết trong ngày một ngày hai nên khi kết quả điều trị tích cực, chúng tôi đã cho bệnh nhân xuất hiện và điều trị theo các đợt thuốc. Sau đó, cho bệnh nhân đến kiểm tra, theo dõi thường xuyên", BS.ThS Phạm Chí Cường cho hay.

Cận cảnh dịch phổi của bệnh nhân 4 tuổi ở Chiêm Hóa bị sán xâm nhập sau khi được bác sĩ hút ra. Ảnh: Tư liệu của Bệnh viện Bạch Mai.
Qua trường hợp bệnh nhân điển hình mắc bệnh kén sán, BS.ThS Phạm Chí Cường cho hay, thời gian qua, không ít trường hợp mắc các bệnh có nguyên nhân từ vấn đề an toàn vệ sinh thực phẩm.
Cụ thể, tháng 9/2020, TTYT huyện Chiêm Hoá đã cấp cứu và điều trị thành công 1 bệnh nhân 4 tuổi, trú tại xã Trung Hoà (Chiêm Hoá) bị sán lá phổi xâm nhập do thường xuyên sử dụng những thực phẩm chưa thực sự chín, cua nước ngọt.
Nguồn: https://giadinh.net.vn/


