Phẫu thuật kết hợp xương cho bệnh nhân bị gãy xương do tai nạn lao động
Khoa ngoại - TTYT huyện Chiêm Hóa vừa thực hiện thành công ca phẫu thuật kết hợp xương cho bệnh nhân M.T. N (xã Bình An – Lâm Bình) bị tai nạn lao động.
Bệnh nhân bị máy phát cỏ cắt vào chân, sau đau và chảy máu nhiều. Bệnh nhân nhập viện trong tình trạng: Mặt ngoài 1/3 dưới cẳng chân phải có vết thương sắc gọn đứt gân và cơ, lộ xương, chảy nhiều máu và hạn chế động tại cổ chân.
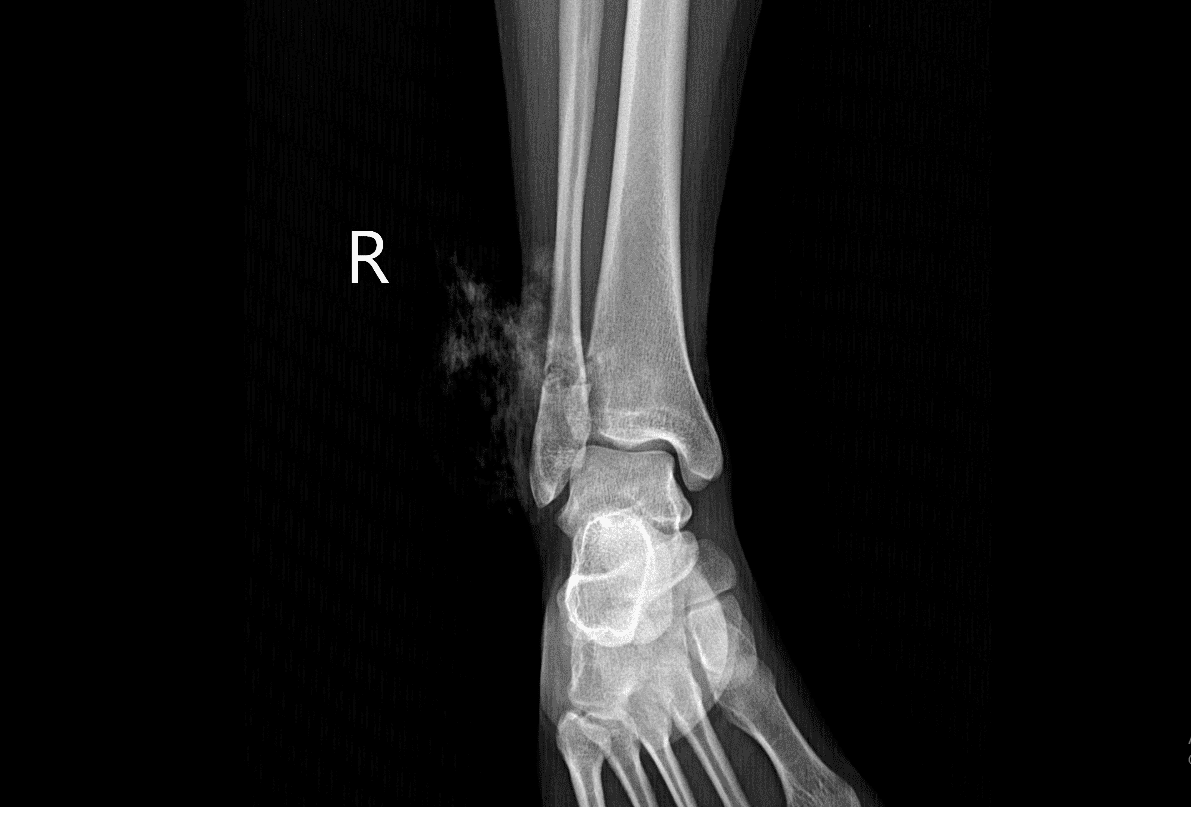
Sau thăm khám và thực hiện chụp X-Quang bệnh nhân được chẩn đoán: Gãy xương 1/3 dưới xương mác phải, gãy hở; vết thương hở tại cẳng chân và được chỉ định phẫu thuật kết hợp xương.

HÌnh ảnh chụp X-Quang của bệnh nhân
Trong quá trình phẫu thuật, các bác sỹ kiểm tra thấy vết thương cổ chân phải kt 5cm, bờ sắc gọn. Tiến hành rạch mở rộng vết thương, thấy đứt gân mác ngắn, dài, gẫy xương mác, gẫy xương chày trật khớp cổ chân. Bệnh nhân được tiến hành cắt lọc làm sạch vết thương, đặt các xương gẫy, diện khớp theo bình diện giải phẫu, kết hợp xương bằng 01 đinh kischer, 01 vít khóa và khâu phục hồi gân mác tận - tận. Các bác sỹ kiểm tra đạt, vận động khớp cổ chân được.

BN đang được các BS thực hiện phuẫu thuật KHX
Các bác sĩ khuyến cáo người dân trong quá trình sử dụng máy cắt cỏ, cần thường xuyên kiểm tra lưỡi cắt. Nếu phát hiện có dấu hiệu bị hỏng, rạn nứt cần phải thay mới ngay. Nếu lưỡi cắt bị lỏng, cần siết chặt lại. Nếu lưỡi dao của máy cắt cỏ bị kém chất lượng, thép không đủ độ cứng, khi va đập rất dễ bị gãy văng lưỡi ra, gây nguy hiểm cho người sử dụng.
Khi tai nạn xảy ra tai nạn, bệnh nhân cần được sơ cứu, băng ép vết thương cần máu ngay rồi đưa đến cơ sở y tế gần nhất để được cấp cứu và điều trị đúng cách, tránh chậm trễ có thể nguy hiểm tính mạng.
Thời gian qua, TTYT huyện Chiêm Hóa đã triển khai được nhiều kỹ thuật ngoại khoa, điều trị thành công cho nhiều bệnh nhân bị tai nạn lao động, chấn thương nguy hiểm./
T/h:Nguyễn Bình (Phòng TCKH-TTYT huyện Chiêm Hóa)


